Discover the Power of All-On-X

Expert Full-Arch Implant Care by a Board-Certified Periodontist

Dr. Boustani and his team at Providence Periodontics & Implants Center deliver life-changing full-arch restorations with a personal touch you won’t find at corporate chains.

At Providence Periodontics and Implants Center, Dr. Boustani provides advanced dental implants and All-On-X solutions designed to restore confidence, function, and long-term oral health. As a board-certified periodontist, Dr. Boustani specializes exclusively in the health of gums, bone, and dental implants—making him a trusted expert for complex implant cases and full-arch restorations.

Patients choose Providence Periodontics and Implants Center for personalized, education-driven care that goes beyond what corporate implant centers offer. Every treatment plan is tailored, transparent, and focused on lasting results.

Call our office today to schedule your consulation.

What Is All-On-X Dental Implants?

All-On-X is a modern, life-changing dental implant technique that replaces an entire arch of missing or failing teeth using four or more strategically placed dental implants. Variations such as All-on-4 and All-on-6 refer to the number of implants used, while the “X” reflects customization based on each patient’s anatomy, bone structure, and long-term goals.

Unlike traditional dentures, All-On-X provides a fixed, non-removable solution designed to look, feel, and function like natural teeth.

All-On-4 vs. All-On-6: What’s the Difference?

  • All-on-4 uses four implants to support a full arch and is often ideal for patients with reduced bone density.
  • All-on-6 uses six implants to provide additional stability and load distribution when bone conditions allow.

When possible, Dr. Boustani prioritizes maximizing the number of implants, typically using a minimum of six implants, to improve long-term stability and load distribution. When bone conditions allow, placing additional implants helps support the restoration over time. The overall cost remains the same whether four or six implants are used, allowing treatment decisions to be based on what provides the strongest long-term outcome rather than pricing differences.

Dr. Boustani carefully evaluates each patient using advanced 3D imaging to determine which All-On-X approach delivers the best outcome.

x-ray

Why Choose a Periodontist for Dental Implants?

Dental implants require precise placement and a deep understanding of bone and gum biology. As a periodontist, Dr. Boustani has advanced surgical training beyond general dentistry, focusing specifically on implant success, bone preservation, and long-term stability.

Choosing a periodontist for dental implants means:

  • Expert management of bone and soft tissue
  • Higher success rates for complex implant cases
  • Long-term preservation of facial structure and jaw health

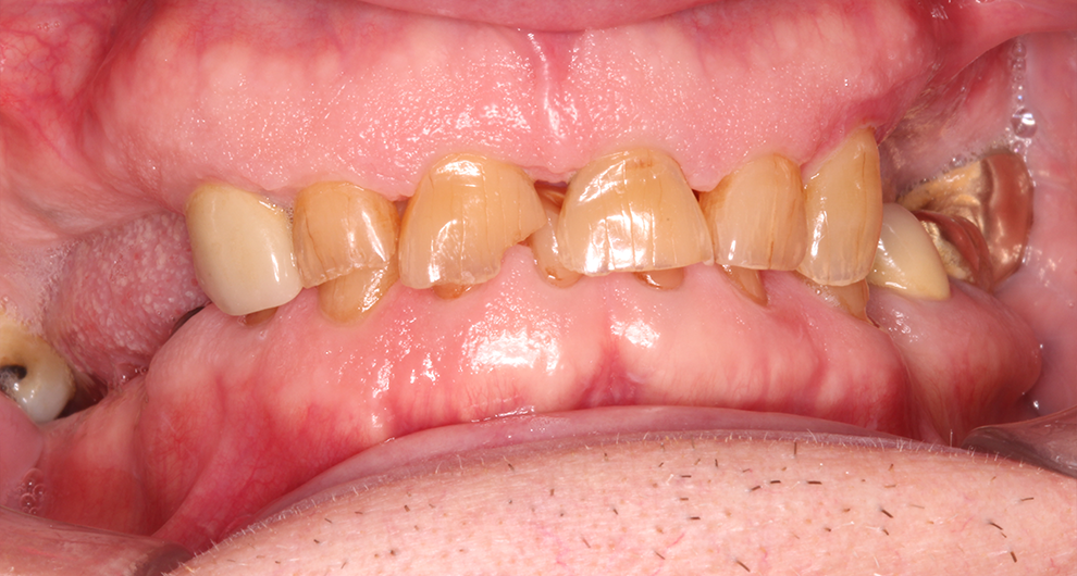
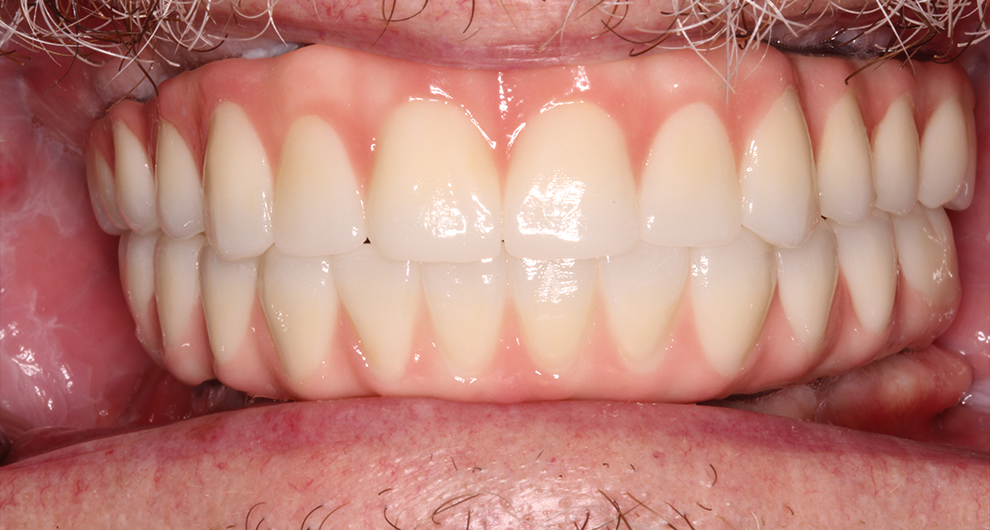
Click and drag the lines to reveal before and after

Before treatment After treatment
Before treatment
After treatment
After treatment
All-On-X Dental Implants

Key Benefits of All-On-X

  • Replace a full set of teeth in as little as one day
  • Fixed, non-removable porcelain bridge (not removable dentures)
  • Natural-looking, long-lasting results
  • Improved ability to eat, speak, and smile confidently
  • Bone-preserving solution that supports facial structure
  • Fewer implants with less downtime and greater comfort
  • Designed as a permanent tooth replacement solution

What You Can Expect:

1

Free Consultation & 3D Imaging:

 Meet with Dr. Boustani for a thorough evaluation and a personalized implant plan.

2

Extractions & Implant Placement: 

Failing teeth are removed and implants are placed in one comfortable visit when appropriate.

3

Temporary Bridge:

 Leave the office with a secure, natural-looking temporary set of teeth.

4

Healing & Final Bridge: 

 After healing, your permanent custom porcelain bridge is placed.

5

Ongoing Support: 

 Our team supports you before, during, and long after treatment.

Schedule a Consultation

Frequently Asked Questions

Who is a good candidate for All-On-X?

Are you tired of loose dentures or falling bridges? Patients seeking a stable, permanent, and non-removable solution for tooth replacement with healthy gums and jawbone density are the perfect candidate for All-On-X implants.

How does the pricing work for All-On-X?

Providence Periodontics offers a flat-fee for All-On-X procedures so you have no surprises.

The flat-fee covers:

  • Extractions
  • Implants
  • Custom-designed, full-porcelain bridge, and
  • Post-operation check-up and maintenance 

Do you accept Medicaid/Medicare?

We do not accept Medicaid/Medicare, however, we do offer affordable payment plans. Call us today for options. 

Take charge of your periodontal health today! Contact our office by calling 401-421-1717 or emailing info@providenceperiodontics.com to get started.